¿Alguna vez te has preguntado cuántas muelas tenemos realmente? Aunque parezca una duda sencilla, la respuesta puede cambiar dependiendo de la etapa de la vida y de si contamos o no con las muelas del juicio. En este artículo vamos a resolver la cuestión de forma clara y sencilla, además de explicarte cómo están distribuidas estas piezas y qué función cumplen en tu salud bucodental.
¿Qué función tienen los molares?
Los dientes posteriores son fundamentales en el proceso de masticación. Su forma ancha y su resistencia permiten triturar los alimentos antes de tragarlos. También ayudan a mantener la alineación de la mandíbula y distribuyen la fuerza de la mordida de forma equilibrada.
Número de molares en la edad adulta
Una persona adulta puede llegar a tener hasta 12 muelas permanentes, repartidas de la siguiente forma:
Tres por cada sección de la boca: parte superior e inferior, lado derecho e izquierdo
En total: 3 x 4 = 12 piezas
Estas incluyen las conocidas muelas del juicio. No todos las desarrollan, por lo que es común tener únicamente 8 dientes molares funcionales.
¿Cuántas piezas molares tienen los niños?
En la etapa infantil, los pequeños cuentan con una dentición temporal de 20 dientes. De esos, 8 son molares de leche, dos por cada cuadrante. Estas piezas se caen con el paso de los años para dar lugar a los dientes definitivos.
Clasificación de los molares
Dentro de los dientes posteriores permanentes, encontramos tres tipos principales:
| Tipo de muela | Cantidad total | Función |
|---|---|---|
| Primer molar | 4 | Inicia la trituración |
| Segundo molar | 4 | Complementa la masticación |
| Tercer molar (cordal) | 4 | A veces ausente; puede extraerse |
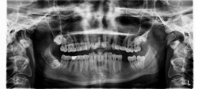
Las llamadas “cordales” o muelas del juicio aparecen, si lo hacen, entre los 17 y 25 años.
¿Qué ocurre si faltan algunas?
La ausencia de estos dientes puede provocar alteraciones en la mordida, movimientos no deseados de las piezas vecinas e incluso molestias articulares. Por eso, en caso de pérdida o extracción, se recomienda una evaluación odontológica para valorar soluciones como implantes o prótesis.
¿En qué momento aparecen?
La erupción de los molares se da por etapas:
Primeros molares definitivos: alrededor de los 6 años
Segundos: entre los 11 y 13 años
Terceros molares (si aparecen): hacia los 18-25 años
¿Cómo cuidar estos dientes?
Por estar al fondo de la boca, estas piezas suelen ser más difíciles de limpiar, y por tanto, más vulnerables a las caries. Para mantenerlas sanas, ten en cuenta estos consejos:
Cepilla bien las zonas posteriores tras cada comida
Usa hilo dental o cepillos interdentales
Evita el exceso de azúcares
Realiza visitas regulares al dentista
Considera selladores si lo indica tu odontólogo
Comparativa por edad
| Etapa | Número de muelas | Comentario |
|---|---|---|
| Niñez (dentición temporal) | 8 | Piezas temporales |
| Edad adulta sin cordales | 8 | 2 por cuadrante |
| Edad adulta con cordales | 12 | Incluye las muelas del juicio |
Datos curiosos
El primer molar definitivo es también el primero en aparecer en la infancia y no reemplaza a ningún diente de leche.
Las cordales a veces nunca erupcionan, y no pasa nada si no se tienen.
Algunas personas pueden desarrollar más de cuatro muelas del juicio, aunque es poco común.
Conclusión
El número total de dientes molares en una persona puede variar. Generalmente, los adultos tienen entre 8 y 12 piezas posteriores, dependiendo de si aparecen o no las muelas del juicio. En la infancia, los niños tienen 8 molares temporales que serán reemplazados con el tiempo.
Conocer bien la cantidad y función de estas piezas es útil para mantener una boca sana, prevenir enfermedades dentales y conservar una buena calidad de vida.













